
今までのかぶせ物や詰め物にご不満の方、
美しさを兼ね備えた高機能の素材が揃っています。
補綴修復治療とは、歯の一部を失ってしまった場合に、人工物によってその機能の回復を目指す治療です。このページでは、その中でも特に審美的に優れた治療法を紹介いたします。機能性と美しさを両立させることで、肉体的、精神的な健康を手に入れます。
各治療法には、それぞれの特徴があります。美しさに力を入れたもの、頑丈さに力を入れたもの、前歯に適したもの、奥歯に適したもの……。
患者さまのお口の状態によっても適切な治療法というものは変わってきます。どうぞ一度受診いただき、ご自身に合った治療法をお選びください。
メタルフリーの補綴修復治療
オールセラミッククラウン

「セラミック」は陶器、「クラウン」とはかぶせ物の意味で、「オールセラミッククラウン」とは、内側も外側もセラミックで構成されたかぶせ物のことです。
内部が金属のものとは違い、セラミックのみで作られていますので、「金属の色が透ける」ということがなく、天然歯の色、質感とほとんど変わらない、非常に美しい仕上がりです。長期の使用にも変色が少なく、金属を全く使っていないので金属アレルギーの方にも安心です。
ジルコニアクラウン

外側がセラミック(陶器)、内側がジルコニアで構成されたクラウン(かぶせ物)です。ジルコニアとは、金属をもしのぐ抜群の強度を誇る素材です。外側をセラミックにすることで、審美性と耐久性の両立を実現しました。見た目はオールセラミックに劣りますが、十分に美しいクラウンです。
金属を全く使っていないので金属アレルギーの方にも安心です。
金属を全く使っていないので金属アレルギーの方にも安心です。
e.max(イーマックス)

e.maxは、新しいセラミック素材です。
特徴はその柔軟性です。人工歯は硬ければ硬いほどいい、と考えられがちですが、硬すぎると噛み合う向かい側の歯を傷つけてしまいます。天然の歯に近い硬さを実現したe.maxは、周りの歯を傷つけず、身体への適合にも優れています。そのため、歯と歯ぐきの境目も自然に仕上がります。
金属を全く使用しておりませんので、金属アレルギーの方にも安心です。
優れた審美性も兼ね備えており、身体に優しく、美しい人工歯だといえます。
ゼルコンZ冠
ゼルコンZ冠とは?

特殊ジルコニア素材と先端デジタル技術により生まれた、からだにやさしい、低価格の差し歯、ブリッジ、かぶせ物です。

1、高い審美性
●天然歯のような透明感のある白い歯
●従来のジルコニアより光透過性、15%アップ
●従来のジルコニアより光透過性、15%アップ

2、からだにやさしい
●天然歯の削る量が少ない
●細菌や色素の付着が少ない
●噛み合わせする歯への影響が少ない
●細菌や色素の付着が少ない
●噛み合わせする歯への影響が少ない
レジン

「レジン」とは歯科用のプラスチックのことです。プラスチックときくと、安っぽいイメージがあるかもしれませんが、色は天然歯に近く、万が一割れた場合にも修理が容易です。歯を削る量も少なく、お値段もお手頃です。<br/>
現在、金属を詰めているけれど色が気になる、という方におすすめいたします。
メタルを使った補綴修復治療
メタルボンド

外側はセラミック(陶器)、内側が金属(チタン)という構造のクラウンです。
耐久性に優れ、奥歯を含めほとんどの箇所に使用可能です。
美しさ、という点ではオールセラミッククラウンには劣りますが、それでも十分な美しさが保たれています。
ただし、金属アレルギーをお持ちの方には使用できないことがあります。
耐久性に優れ、奥歯を含めほとんどの箇所に使用可能です。
美しさ、という点ではオールセラミッククラウンには劣りますが、それでも十分な美しさが保たれています。
ただし、金属アレルギーをお持ちの方には使用できないことがあります。
ゴールドクラウン

いわゆる「金歯」のことです。目立ってしまうのが嫌、という方にはおすすめできませんが、耐久性に優れ、頑丈ですので奥歯にも使用できます。身体への適合に優れ、錆びる、ということもほとんどありません。
機能性を重視される方におすすめいたします。
ただし、金属アレルギーをお持ちの方には使用できないことがあります。
機能性を重視される方におすすめいたします。
ただし、金属アレルギーをお持ちの方には使用できないことがあります。
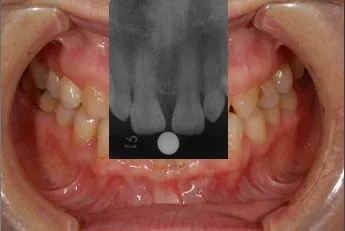
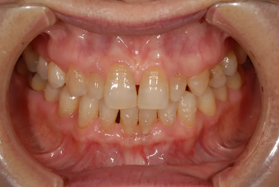
CASE別の審美修復治療過程
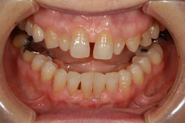
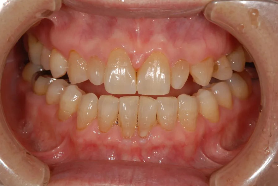
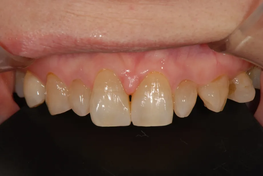
CASE1 60代女性 ダイレクトボンディングによる修復治療
初診

歯石除去で来院されました。
除去後、話を聞くと上顎の前歯の歯と歯の間が離れていることが
以前より気になっていると仰られ、治療計画を立案。
レントゲン写真を撮影。
除去後、話を聞くと上顎の前歯の歯と歯の間が離れていることが
以前より気になっていると仰られ、治療計画を立案。
レントゲン写真を撮影。

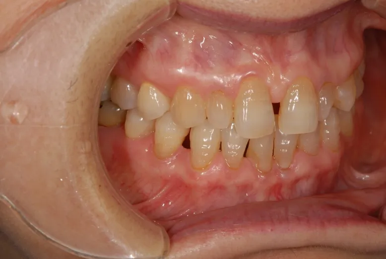
口腔内写真の撮影





残っている歯の問題点などを解析



顔全体・口元の写真を解析
前方・口元


側方・口元


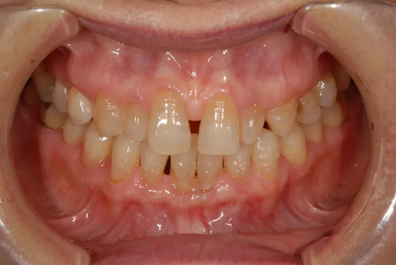
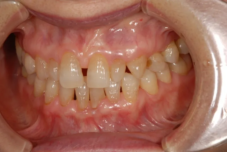
口腔内の分析・治療計画
口腔内の分析・治療計画

さまざまな方向性から、歯のバランスや問題点を解析。
治療計画の立案を行います。
治療計画の立案を行います。
こんなふうになれば良いな・・・


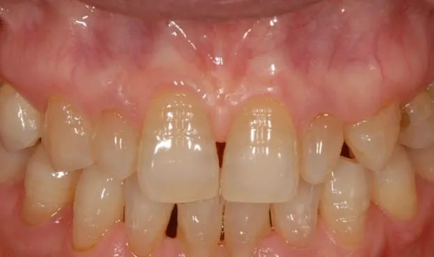
治療後



治療その後
術後4ヶ月
予定合成写真


審美治療の費用について
料金表は全て税込み価格です。
下記の保証は規定にそった定期健診に応じていただけることが条件となります。
保証開始日から2年間: 2年間に2回以上メインテナンスの受診
下記の保証は規定にそった定期健診に応じていただけることが条件となります。
保証開始日から2年間: 2年間に2回以上メインテナンスの受診
審美(審美修復治療)
| オールセラミック(前歯部) | 132,000円〜143,000円 |
|---|---|
| ラミネートベニア(前歯部) | 66,000円〜77,000円 |
| メタルボンド(前・臼歯部) ※ | 110,000円〜121,000円 |
| ゴールドクラウン ※ | 66,000円〜77,000円 |
| ゴールドインレー ※ | 55,000円〜66,000円 |
| ダイレクトボンディング(1歯) | 33,000円 |
| ファイバーコア(直接法・間接法) | 8,800円・13,200円 |








